Opublikowany przez:
Familiepl
2020-03-20 11:42:39
Autor zdjęcia/źródło: zdjęcie Youtube/Terzake
Dotychczas uważano, że koronawirus największe spustoszenie sieje wśród ludzi starszych. Tymczasem nawet młodzi ludzie w wieku 20-50 lat, muszą na siebie bardzo uważać. Mimo, że koronawirus w tej populacji wiekowej nie powoduje tak dużej śmiertelności, sieje on ogromne spustoszenie w płucach.
Poinformował o tym belgijski lekarz, Ignace Demeyer, który w trakcie wywiadu dla telewizji VRT poprosił młodych ludzi, aby bardzo uważali na siebie – unikali zgromadzeń, zostali w domu i dbali o mycie rąk i higienę.
To, że są młodzi, nie gwarantuje ochrony przed koronawirusem, ani tez gwarancji lekkiego przebiegu choroby.
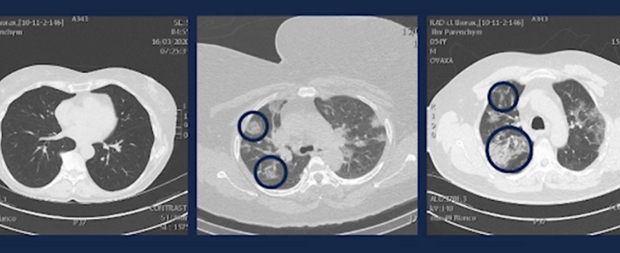
Lekarz przytoczył historie wielu pacjentów, którzy trafiają teraz na oddziały wirusologiczne. To młodzi ludzie, nieobciążeni dodatkowymi chorobami, którzy przez pewien czas chorowali - najpierw około tygodnia w domu z objawami grypopodobnymi i gorączką, a gdy poczuli się lepiej zaczęli wychodzić na zewnątrz.
Po dwóch dniach zazwyczaj trafiali już na oddział z dusznościami i kaszlem – a skany ich płuc były przerażające!
Pokaż wszystkie artykuły tego autora
Nie masz konta? Zaloguj się, aby pisać swoje własne artykuły.
Nie masz jeszcze konta na familie.pl?
Załóż je już teraz!